


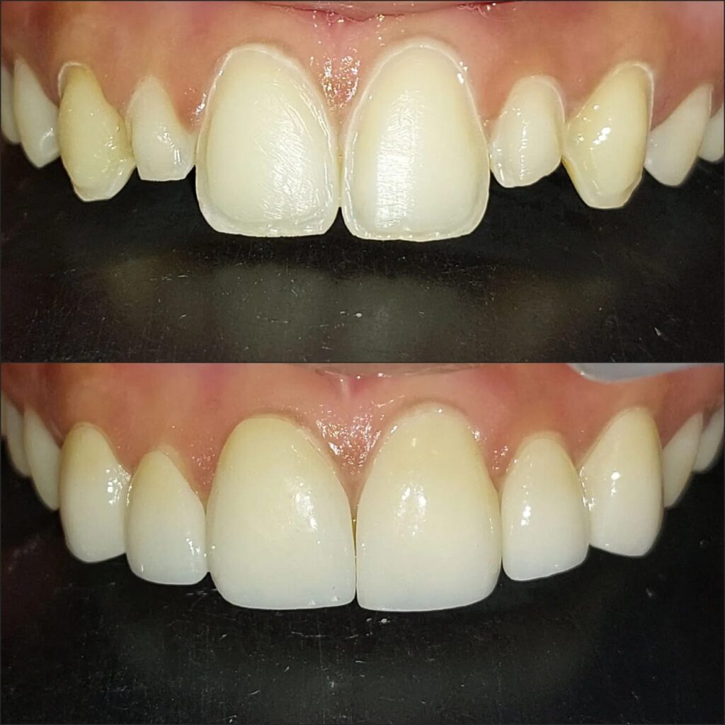
For more major cosmetic concerns, which may include teeth that are too short, misshapen teeth, discoulored teeth , crooked or overlaped teeth, spaces between teeth, ceramic laminate veneers are the perfect solution. It is also referred as “Instant Orthodontics”. Of all the methods available for changing and improving the look of your smile, porcelain (ceramic) laminate veneers and crowns are the most popular, successful and quick. With the help of these, a damaged tooth can be saved and repaired to look and feel like original. A brighter smile designing with veneers hyderabad can also create a more youthful appearance.
Ceramic laminate veneers are thin shells of ceramic or porcelain, which are applied to the front of the teeth to hide imperfections in structure. At Dr. Gowds’ Dental Hospitals, we have the state of the art technology like the Dental CAD CAM and expertise to create the dental “masterpieces.” These veneers bond chemically to the tooth structure, hence giving them a long lasting effect.
Veneers can be used to hide permanent stains, cracks, chipping of teeth. Sometimes these are also indicated to alter the shape or size of the patient’s teeth, or fill spaces within teeth. The correction of unattractive front teeth with ceramic veneers involves two clinical visits. The first visit entails the preparation of the tooth, making impression of the prepared tooth and the placement of temporary acrylic veneers.
These veneers are then processed in-house in our state-of-the-art laboratory under direct supervision of Dr. M.S. Gowd and Dr. Vikas Gowd. This processing usually requires 2 sittings and can sometimes be done in a single day with the use of CAD- CAM or computer aided designing and computer aided milling or 3D printing technology. The final ceramic laminate veneers are permanently bonded to the teeth at the second clinical visit.
Our focus is not solely on the treatment. At Dr Gowds’ Dental Hospitals, we focus on how you will look for the rest of your life. With our invisible braces, you will benefit from fast, comfortable braces that are virtually invisible during treatment. And after treatment, you will have a spectacular smile that goes beyond just straight teeth.
Following the end of treatment, teeth often have a tendency to return to their original positions, which is called a relapse. There are a variety of factors that may influence the possibility of relapse including the type of treatment. Because all teeth have a tendency to relapse, it may be necessary to wear some type of removable retention device at night following treatment.
Ceramic laminate veneers require strong and healthy teeth. People who fit this description and have the following imperfections may want to consider veneers:







Smile designing cost at Dr. Gowds varies depending on the complexity of the procedure and the number of veneers required. We offer competitive pricing to make these transformative treatments accessible.
Dental veneers play a crucial role in smile designing by covering imperfections such as chips, discoloration, and gaps, resulting in a harmonious and aesthetically pleasing smile.
At Dr. Gowds, our dental veneers are crafted using high-quality materials and tailored to each patient’s unique specifications, ensuring a natural look and long-lasting results.
With proper care, dental veneers can last 10-15 years. Regular brushing, flossing, and dental check-ups are essential to maintain their appearance and durability.
Ideal candidates for dental veneers are individuals with healthy gums and teeth seeking to improve the appearance of their smile by addressing cosmetic dental issues like discoloration, chips, or minor misalignments.
The smile designing process at Dr. Gowds typically requires a few appointments over a period of weeks, depending on the complexity of the case and the specific adjustments needed to achieve the desired smile transformation.
WhatsApp us