Please fill the form below for appointment



Welcome to ‘UR Smile Creators,’ your premier dental specialists in Hyderabad. Our dedicated team is committed to delivering personalized care through a comprehensive approach, characterized by precision and the utmost safety standards. Our use of disposables and sterilized surgical instruments ensures your well-being.
Leave your worries behind as you step through our doors. We’re here to guide you on a journey towards a healthier and brighter smile.
At the heart of our services is “YOU.” Your well-being is our focal point, promising not only a swift recovery but also the finest outcomes. Your holistic health is our top priority.
We have a Sure Shot Solution for your Dental Problems
“Experience 25 Years of Precision and Excellence in Dental Implants – Trust Dr. Vikas Gowd, Hyderabad’s Expert with Over 10,000 Implants Placed.”



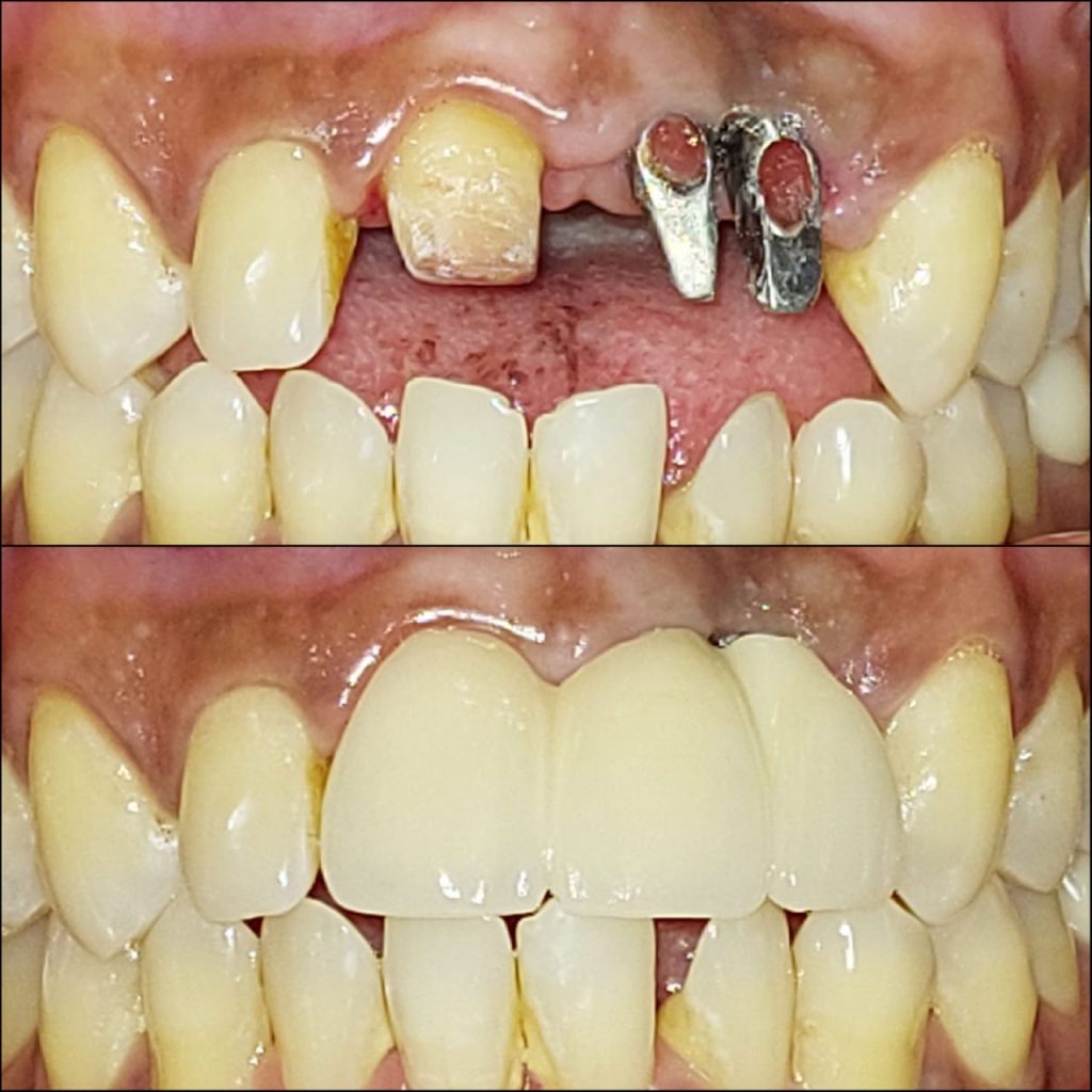
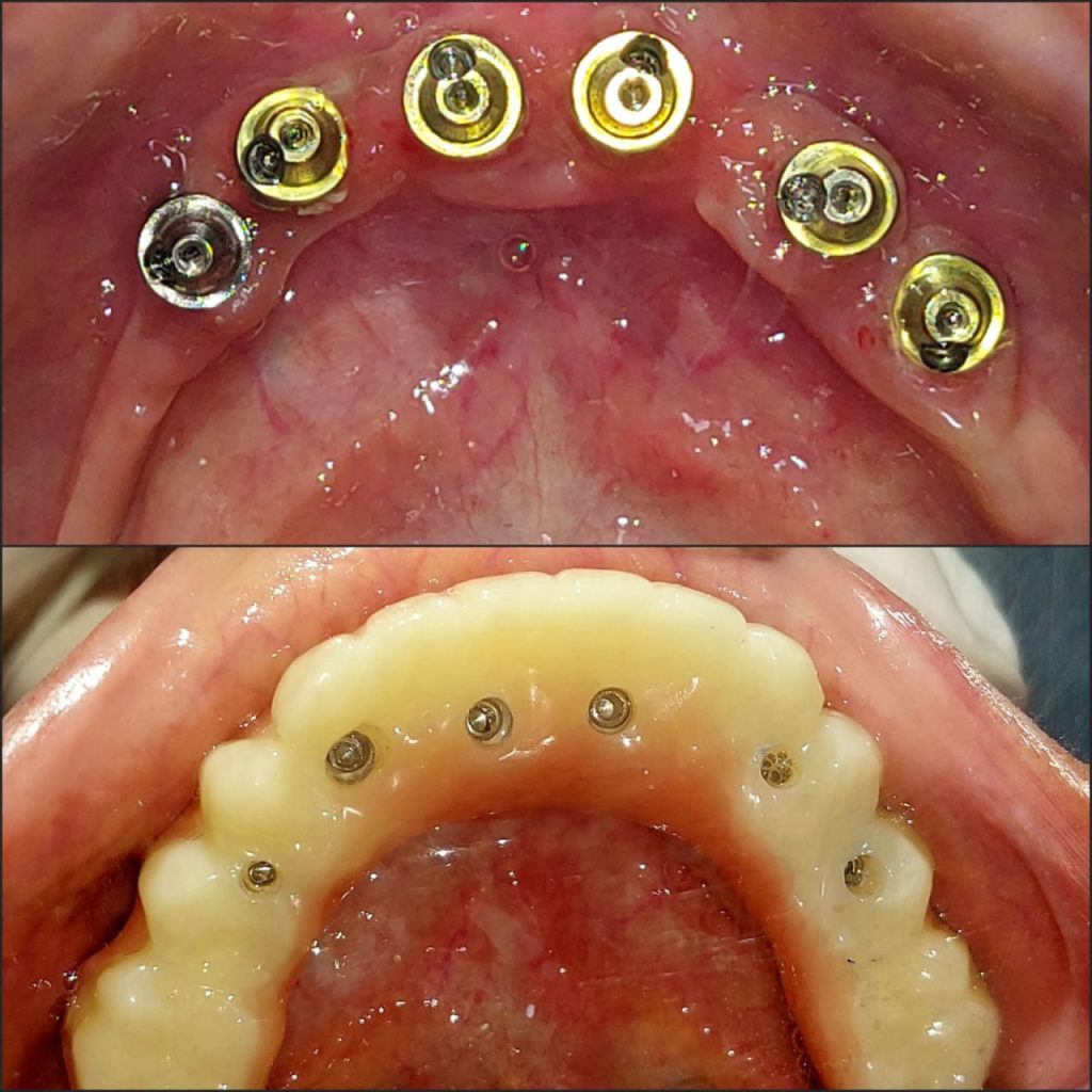
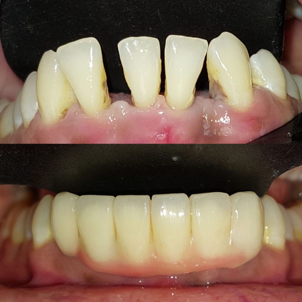
Full-mouth dental implants, a remarkable solution for individuals with severe tooth loss, are a cutting-edge method that involves the surgical placement of multiple dental implants in both the upper and lower jaws to support a custom-designed full arch dental bridge or denture.
The outstanding results match the complex nature of this procedure, which requires advanced techniques and expertise it can deliver. Not only can this state-of-the-art approach significantly enhance the appearance and functionality of a patient’s smile, but it can also provide a more natural-looking and comfortable tooth replacement option when compared to conventional dentures.
The process of full-mouth dental implants, typically suggested for those with extensive tooth loss, creates a stable and secure foundation for a full set of replacement teeth, offering a long-lasting solution that can drastically improve oral health, speech, and overall quality of life.
With the help of innovative technology and skilled practitioners, full-mouth dental implants have become a highly accessible and effective means of restoring a full and radiant smile. So, for those in search of a transformative solution to missing teeth, full-mouth dental implants may indeed be just the answer.



Full-mouth dental implants are an extensive tooth replacement method that requires the surgical placement of multiple dental implants in both the upper and lower jaws to support a customized full arch dental bridge or denture. This long-lasting solution can enhance the appearance and functionality of a patient’s smile and offer a more natural-looking and comfortable tooth replacement option than conventional dentures. Full-mouth dental implants are typically suggested for patients who have lost a significant number of teeth or all of their teeth.


Since dental implants are so strong, it goes without saying that this has several advantages for them. Take a look at the many advantages that receiving a dental implant can provide you with:
Dental implants’ ability to boost your confidence is one of its best qualities. Imagine how uncomfortable it would be to smile in front of a large group of people while missing a tooth. You may permanently banish that humiliating feeling with the help of the best dental clinic in Hyderabad.
We are a rare combination of individualism, commitment, perfection, precision, composure and compassion.
We stand in every mean to deliver you the best in the world of dentistry.

We understand the significance of a healthy and functional smile. Our state-of-the-art dental implant procedures offer a permanent solution to missing teeth, restoring both your oral health and self-assurance. With decades of experience, our team ensures the highest level of precision and patient comfort.
Your smile is your signature, and we take great pride in crafting smiles that radiate beauty and charm. Our smile designing techniques blend artistry with science, resulting in customized smiles that perfectly complement your unique facial features. Through meticulous planning and advanced technology, we create smiles that light up every room you enter.

Straightening your teeth no longer requires conspicuous metal braces. Our expertise in invisible , including Invisalign and other aligners, allows you to achieve a perfectly aligned smile discreetly and comfortably. Whether you're a professional seeking a polished look or a teenager navigating school years, our invisible braces offer the ideal solution.

Most of the time if pain to a tooth meant it’s the last stage and needed removal of a tooth. However, with advances in technology we are able to save even badly broken down and decayed teeth with root canal treatment.

Scaling and polishing of teeth is the most commonly advised treatment by a dentist which removes the adherent tartar.

At Dr. Gowd’s, we provide Zirconia crowns and bridges that are increasingly becoming popular for its durability and for its ability to retain the natural look, because of its translucent nature.







After the installation of your implant, you must take good care of your dental health. The following are some methods to help you take good care of your oral health:

Welcome to Our Expert Dentist – your trusted partner in crafting healthy, beautiful smiles that radiate confidence and wellbeing. With a passion for precision and a commitment to compassionate care, we are dedicated to transforming your dental experience into a journey of empowerment and joy.





Getting dental implants from the top dental implant surgeon in hyderabad will be painless. During prep for the implant, anesthesia is given to the patients, which causes no pain.
Dental implant surgery recovery time might be as little as a week. For the first 1-2 days, patients are encouraged to take soft foods. Overall, the operation is relatively comfortable, with little to no discomfort.
When it comes to receiving Dental Implants, there is no such Maximum age limit or restriction, however, they should be avoided before the age of 18-20 years to account for the jaw growth pattern and milestones.
WhatsApp us